#.मनुष्य में गुणसूत्रींय विकार =
→आनुवांशिक रोगो का एक अहम वर्ग है यह उन स्थितियों की कहते हैं
→ जब किसी व्यक्ति के गुणसूत्रों की संख्या या संरचनाओं में असामान्यता आ जाती हैं
→यह विकार अंडे या शुक्राणु कोशिका के विकास के दौरान होने वाली त्रुटियां के कारण होता हैं।
→अर्द्धसूत्री विभाजन के समय प्रायः गुणसूत्रों के परस्पर अलग न हो पाने के कारण गुणसूत्रों की संख्या कुछ कम या अधिक हो जाती हैं जिससे होने वाले सन्तान में यह एक रोग के रूप में उत्पन्न होता हैं जिसे सिंड्रोम कहते हैं।
* गुणसूत्र संबंधित विकारो के प्रकार –
→ डाउन सिंड्रोम, ट्राइसाॅमी 18, राॅबर्टसोनियन ट्रांसपोर्टेशन, क्लाइनफेल्टर सिंड्रोम , टर्नर सिंड्रोम, ट्रिपल एक्स सिंड्रोम, क्रि टू चेट सिंड्रोम, एडवर्ड सिंड्रोम, पटौ सिंड्रोम, जैकबसेन सिंड्रोम, ।।
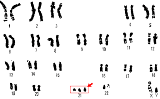
A. डाउन सिंड्रोम =
→ जब 21 वीं जोड़ी गुणसूत्र दो के बजाय तीन हो जाता हैं तो इसे हम डाउन सिंड्रोम या एकाधिसूत्रता कहते हैं।
→ इसे मंगोली जड़ता भी कहते हैं।
→ इसमें 47 गुणसूत्र हो जाते हैं।
→ इनकी 16-17 वर्ष में मृत्यु हो जाती हैं।
→ इनकी गर्दन मोटी , त्वचा खुरदरी, जीभ मोटी आदि डाउन सिंड्रोम के लक्षण हैं
B टर्नर सिंड्रोम =
→ जब किसी व्यक्ति में लिंग गुणसूत्र दो की जगह (XX या XY) एक (X) हो जाता है तो इसे हम टर्नर सिंड्रोम कहते हैं। यह एकल सूत्री अर्थात मोनोसोमिक होती हैं।
→ इसमें गुणसूत्र 45 होते हैं।
→ इनका स्तन चपटा होता हैं।
→ अंडाशय अनुपस्थित होता हैं।
→ मासिक धर्म नहीं होता हैं।
C. क्लाइनेफिल्टर सिंड्रोम=
→जब किसी व्यक्ति में लिंग गुणसूत्र दो के बजाय तीन (XXY) हो जाता है तो इसे क्लाइनेफिल्टर सिंड्रोम कहते हैं।
→ इनमें शुक्राणु नहीं बनते है।
→ ये नपुंसक होते हैं।
*गुणसूत्र संबंधी विकारो के कारण –
✓ गुणसूत्रों की संख्या में बदलाव ।
✓ गुणसूत्रों के छोटे टुकड़े का नष्ट होना या उनकी नकल होना।
✓ गुणसूत्रों का किसी दूसरे गुणसूत्र से जुड़ जाना।
*. गुणसूत्र संबंधी विकारो के परिणाम =
• हल्के से लेकर गंभीर जन्म दोष गर्भावस्था के दौरान गर्भपात या मृत जन्म बौद्धिक विकलांग, तंत्रिका विकास संबंधी विकार।
• गुणसूत्र संबंधी विकारो का पता लगाने के लिए प्रसव पूर्व निदान परीक्षण कराए जा सकते है।

कोई टिप्पणी नहीं:
एक टिप्पणी भेजें